폴리폐놀계 물질 또는 바이오플라노보이드계 물질을 
 함유하는 
식약처에 식품으로
 허가되어있는 식물 추출물을
 포함하는 혼합 추출물

 임상실험이 완료된 간 건강 식품 소재
                            임상실험이 완료된 간 건강 식품 소재
                            JBB20은 주로 과일과 채소에서 유래한 성분으로 구성된 첨단 바이오소재입니다.
알코올 대사 부담을 덜어주고, 간 건강 유지를 돕는 성분으로 음주 후에도 편안한 컨디션 유지에 도움을 줄 수 있습니다.


JBB20은 지방간염 환자 연구에서 일부 생리적 지표에 변화가 관찰된 바 있으며, 이 연구 결과는 일부 과학적 논문에서 다뤄졌습니다. 또한, 동일 조건에서 밀크씨슬(Silymarin)과 비교한 연구도 진행 되었습니다. 자세한 연구 내용은 학술 자료를 통해 확인하실 수 있습니다.
(본 제품은 의약품이 아니며, 개별 건강 상태에 따라 효과가 다를 수 있습니다)


JBB20과 Slim&Slim을 1:1 비율로 조합한 Han Hepa 제품은 지방간 관련 연구에서 일부 생리적 지표에 긍정적인 변화를 나타낸 결과가 보고되었습니다. 2013년 독일 베를린에서 열린 국제 학술회의에서 해당 연구가 발표되었으며, 자세한 내용은 학술 자료를 통해 확인하실 수 있습니다.
(본 제품은 의약품이 아니며, 개별 건강 상태에 따라 효과가 다를 수 있습니다)


JBB20은 알코올 및 약물 섭취로 인한 간 기능에 영향을 받을 수 있는 성인을 대상으로 한 연구에서, 간 기능 지표(AST, ALT, γ-GTP 등)에 대한 관찰 결과, 통계적으로 유의미한 변화를 보인 사례가 보고되었습니다.
해당 연구는 지방간 등과 관련된 간 건강 관리에 참고할 수 있는 기초 자료로 활용되고 있으며, 자세한 내용은 연구자료 또는 학술정보를 통해 확인하실 수 있습니다.

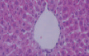
간 상태 : 정상 Nomal Liver

간 상태 : 정상 Nomal Liver

간 상태 : 정상 Nomal Liver
JBB20 성분은 전임상 연구(마우스 모델)를 통해 지방간 관련 간 조직 지표 변화에 대한 관찰이 이루어졌습니다. 실험 결과, JBB20을 투여한 군에서는 대조군에 비해 간 조직 지표에 변화를 보였으며, 이 성분이 간 건강 관리에 대한 가능성을 제시하는 기초 자료로 활용되고 있습니다.
(본 내용은 동물실험을 기반으로 한 연구자료로, 사람에게 동일하게 적용되는 것은 아닙니다.)







개인정보의 수집 및 이용에 관한 동의
1. BNG 홈페이지는 고객 문의사항 처리를 위하여 아래와 같이 개인정보를 수집ㆍ이용합니다.
개인정보 수집ㆍ이용 내역
A) 수집 항목 : 이메일 주소
B) 수집 및 이용 목적 : 고객 문의사항 처리
C) 보유 및 이용 기간 : 목적 달성 즉시 파기
*문의 내용은 시스템에 저장되지 않고 담당자에게 메일로 발송됩니다.
위의 개인정보 수집ㆍ이용에 대한 동의를 거부할 권리가 있습니다.
그러나 동의를 거부할 경우 문의사항에 대한 답변이 제한될 수 있습니다.
2. BNG 홈페이지는 만 14세 미만 정보주체의 개인정보를 처리하지 않으므로 만 14세 미만 아동은 1:1 문의를 할 수 없습니다.